UTAFITI MBALIMBALI KATIKA DINI NA SAYANSI
IMEANDALIWA NA AL-AMIN ALI HAMAD
SURA YA AL-KAWTHAR NA MAFUNDISHO YA DINI, MUUJIZA MKUBWA KATIKA GENETICS NA MATHEMATICS.
1/MAFUNDISHO YA DINI
Ni Sura ndogo ambayo in Aya 3 lakini ina Miujiza ya kushangaza sana.
Sura Namba 108
إِنَّآ أَعۡطَيۡنَـٰكَ ٱلۡكَوۡثَرَ (١) فَصَلِّ لِرَبِّكَ وَٱنۡحَرۡ (٢) إِنَّ شَانِئَكَ هُوَ ٱلۡأَبۡتَرُ (٣)
TAFSIRI
1.Hakika Tumekupa kheri nyingi. 2.Basi sali kwa ajili ya Mola wako na uchinje (kwa ajili ya Mola wako). (Na kila utakalolifanya lifanye kwa ajili ya Mola wako, siyo mizimu wala mapango wala makaburi). 3·Hakika adui yako ndiye atakayekuwa mkiwa, (atakatika na kila kheri).
SHEREHE YA AYA
1.Makusudio ya kheri nyingi, hapa ni Utume, ilimu, amali, jaha, kushinda, kupata wafuasi, na kheri nyingine za dunia na Akhera zisizohisabika, ambazo hakupewa mtu kabla yake wala baada yake. Na kheri hizi, hapana shaka ni bora kuliko kheri za mali na watoto.
2.Maana sali kwa ajili ya Mola Wako peke Yake, usiwe kama wale wanaofanya ibada kwa riyaa, na uchinje nyama ( wanyama) zako uwape maskini na wenye haja, usiwe kama wale wawafukuzao mayatima na kujizulia na kuwafanyia ihsani wenzao.
3.Maana yake huyo asemae kuwa wewe umetindikiwa au kunyimwa na kheri ndiye aliyetindikiwa na kheri siyo wewe. Kheri ulizopewa wewe zitakufaa, na kheri alizopewa yeye za mali na watoto hazitamfaa kitu. Maadui wa Mtume (s.a.w.) walikuwa wakifurahi sana kwa kumuona Mtume amefiwa na watoto wake wanaume, sababu walikuwa wakiona hapana kheri kubwa katika Ulimwengu kama kupewa mali na watoto wanaume. Na kwa sababu hii walimwita Mtume Abtar, Mwenye kukatika na kheri. Basi katika Sura hii Mwenyezi Mungu anamliwaza Mtume Wake, pamoja na kuwajibu wale maadui. Katika Aya Ya Pili Mwenyeezi Mungu anamwambia Mtume Asali na Kuchinja. Na hivi ndivyo wanavyofanya Waislamu Tarehe ya 10 katika Mwaka wa Hija. (Dhu-lhija).
Na Katika Hadithi iliyokusanywa na Imam Bukhari inatufundisha Machinjo aliyoyafanya Mtume.
حَدَّثَنَا قُتَيْبَةُ، حَدَّثَنَا أَبُو عَوَانَةَ، عَنْ قَتَادَةَ، عَنْ أَنَسٍ، قَالَ ضَحَّى النَّبِيُّ صلى الله عليه وسلم بِكَبْشَيْنِ أَمْلَحَيْنِ أَقْرَنَيْنِ، ذَبَحَهُمَا بِيَدِهِ، وَسَمَّى وَكَبَّرَ وَوَضَعَ رِجْلَهُ عَلَى صِفَاحِهِمَا.
Reference: Sahih al-Bukhari 5565
SHEREHE YA HADITHI
Hadithi inayotokana na Anas Inasema Kwamba Mtume alitoa Sadaka Kondoo wawili walikuwa Kondoo wenye Pembe na Rangi Nyeupe na Nyeusi. Aliwachinja Kwa mikono yake mwenyewe and hapo hapo kumtaja Jina la Mwenyeezi Mungu (Kama vile kusema بِسۡمِ ٱللَّهِ ٱلرَّحۡمَـٰنِ ٱلرَّحِيمِ na pia Kutaja TAKBIR (Yaani kusema ALLAHU AKBAR) na katika Kuchinja aliweka Mguu wake Pembezoni mwao. (alifanya hivi ili apate kuwachinja vizuri bila kuwaacha wakifurukuta na kumwaga damu hovyo hovyo).
Tafsiri ya Hadithi Kwa Lugha ya Kiingereza
Narrated Anas:The Prophet (ﷺ) offered as sacrifices, two horned rams, black and white in color. He slaughtered them with his own hands and mentioned Allah’s Name over them and said Takbir and put his foot on their sides.
Sura Ya Al-Annam Aya Namba 143 Pia Inazungumzia Kondoo na Mbuzi kwamba ni Halali Kula Nyama zao.
Sura Ya Al-Anaam Namba 6 Aya Namba 143
ثَمَـٰنِيَةَ أَزۡوَٲجٍ۬ۖ مِّنَ ٱلضَّأۡنِ ٱثۡنَيۡنِ وَمِنَ ٱلۡمَعۡزِ ٱثۡنَيۡنِۗ قُلۡ ءَآلذَّڪَرَيۡنِ حَرَّمَ أَمِ ٱلۡأُنثَيَيۡنِ أَمَّا ٱشۡتَمَلَتۡ عَلَيۡهِ أَرۡحَامُ ٱلۡأُنثَيَيۡنِۖ نَبِّـُٔونِى بِعِلۡمٍ إِن ڪُنتُمۡ صَـٰدِقِينَ (١٤٣)
TAFSIRI
I43· (Amekuumbieni) namna nane za wanyama(madume na majike). Wawili katika kondoo(dume na jike); na wawili katika mbuzi (dume na jike). Sema (Uwaambie): “Je, ameharimisha yote madume mawili (ya kondoo na mbuzi) au majike mawili(ya kondoo na mbuzi) au waliomo matumboni mwa majike yote mawili? Niambieni kwa ilimu ikiwa nyinyi mnasema kweli
2/MUUJIZA KATIKA ELIMU YA GENETICS MUUJIZA WA KUSHANGAZA AMBAO UNA UHUSIANO NA CHROMOSOMES ZA KONDOO
Kama tulivyosoma Aya namba 143 kutoka katika Sura Ya Al-Anaam na pia Hadithi ya Mtume kwamba Sadaka ya Nyama inayokusudiwa ni Kondoo. Yaani ٱلضَّأۡنِ Na Jina hili linawakilisha Speshi au aina nyinginezo za Kondoo.
Hebu Tuchunguze Maajabu Yasiyo na Mwisho katika Sura Hii ambayo ni Ndogo, Aya ni 3 tu lakini Ina mengi yasiyo na Mwisho.
Herufi za Neno ٱلضَّأۡنِ zimetumika kama ifuatavyo katika Sura Ya Al-kawthar
Alif Mara 9 + Lam Mara 4 +Dwad Mara 0 + Alif Mara 9+ Nun Mara 5 Tukijumlisha Herufi Hizi Tano utapata Jawabu 27 kama ifuatavyo:
9 + 4 + 0 + 9 + 5=27 La kushangaza ni kwamba namba 27 Ni Chromosomes za Kondoo (27 Gametes) Katika Elimu ya Genetics inajulikana Kama HAPLOID (Yaani Ya Kiume au Kike pekee. Lakini zikichanganyikana yaani DIPLOID zitakuwa 54 ( 27 x2=54) 27 za Kiume na 27 za Kike Na Jumla ni 54 Chromosomes
27 Gametes Male and 27 Gametes Female
Na Ajabu Pia tukipanga namba zilizowakilisha Herufi hapa juu utapata Namba Kubwa 59049
Na Kihesabu Namba hii ni sawa na kusema
27 x 27 x 27 x3
Unaona Ya Maajabu tunapata tena namba 27 ambayo inaashiria Chromosome za Kondoo na 3 inaashiria Siku 3 za AYAM ATASHRIYQ (11th 12th and 13th of Dhu Al-Hijah) ambazo Mahujaji hutupa Vijiwe katika JAMRAH 3 Huko HIJA
Habari za Chromosomes zilijulikana katika karne ya 19 yaani katika mwaka 1888. Chromosomes iligunduliwa na Mtaalamu wakati Huo. (Angalia Picha Yenye Jina lake hapa NImeambatanisha hapa Chini)
Tukihesabu Herufi Kuanzia Mwanzo wa Sura Hii
إِنَّآ أَعۡطَيۡنَـٰكَ ٱلۡكَوۡثَرَ (١) فَصَلِّ لِرَبِّكَ وَٱنۡحَرۡ (٢) إِنَّ شَانِئَكَ هُوَ ٱلۡأَبۡتَرُ (٣)
mpaka neno وَٱنۡحَرۡ utapata 27 pia na namba hii inathibitishwa tena mara ya pili kuwa inaashiria Chromosomes za Kondooambazo ni 27 Pia.
Ukihesabu Herufi za Kiarabu ABJAD (Old Arabic Alphabet) katika Sura Hii Utapata Herufi 17
(Alif-Nun-A’in-Twa-Ya-Kaf-Waw-Tha-Raa-Fa-Swad-Lam-Baa-Haa-Shin-He-Taa)
Na Katika Elimu ya Hesabu (Prime na Composite Numbers) Namba 17 ni Composite na ipo katika Position ya 17
Angalia Tunapata Tena namba 27 ambayo inaashiria Chromosomes za Kondoo
Angalia Maajabu yasiyo na Mwisho. Allahu Akbar
Muujiza Pia Katika Namba ya Sura Ya Al-Kawthar ambayo ni 108 Na namba hii ni sawa na 54 X 2
Namba 54 Ni Chromosomes ya Kondoo DIPLOID yaani iliyochanganyika (Kike na Kiume yaani 27 + 27=54) Angalia Muujiza Mwingine unaoshangaza.
Tukihesabu Herufi za Aya Namba 2 za Sura Ya Al-Kawthar فَصَلِّ لِرَبِّكَ وَٱنۡحَرۡ (٢)
katika Sura Ya Al-Fatiha Ambayo kama tulivyosema hapo zamani kwamba Kila kitu katika Ulimwengu kipo katika Sura Ya Al-Fatiha
بِسۡمِ ٱللَّهِ ٱلرَّحۡمَـٰنِ ٱلرَّحِيمِ (١)
ٱلۡحَمۡدُ لِلَّهِ رَبِّ ٱلۡعَـٰلَمِينَ (٢) ٱلرَّحۡمَـٰنِ ٱلرَّحِيمِ (٣) مَـٰلِكِ يَوۡمِ ٱلدِّينِ (٤) إِيَّاكَ نَعۡبُدُ وَإِيَّاكَ نَسۡتَعِينُ (٥) ٱهۡدِنَا ٱلصِّرَٲطَ ٱلۡمُسۡتَقِيمَ (٦) صِرَٲطَ ٱلَّذِينَ أَنۡعَمۡتَ عَلَيۡهِمۡ غَيۡرِ ٱلۡمَغۡضُوبِ عَلَيۡهِمۡ وَلَا ٱلضَّآلِّينَ (٧)
Tutapata Idadi ya Herufi Kama ifuatavyo
فَصَلِّ لِرَبِّكَ وَٱنۡحَرۡ
Al-Faa=0 + Al-Swad=2 + Al-Lam=22 + Al-Lam=22 + Al-Raa=8 + Al-Baa=4 + Al-Kaf=3 + Al-Waw=4 +Al-Alif=19 + Al-Nun=11 + Al-Haa=5 + Al-Raa=8=108
(0 + 2 + 22 + 22 + 8 + 4 + 3 + 4 + 19 + 11 + 5 + 8=108)
Namba hii inaashiria Sura Ya Aya Hii ambayo ni namba 108. Angalia Muujiza Wa Kiajabu. Allahu Akbar. Aya Namba 2 ya Sura Ya AL-Kawthar inahimiza Kuswali na Kuchinja Unaona Muujiza Usio na Mwisho Allahu Akbar.
Ukichunguza Herufi za Neno ٱلضَّأۡنِ katika Herufi za Kiarabu zinazojulikana kama ABJAD (Old Arabic Alphabet System)
Kwanza Ningependelea Kuzitaja Herufi za ABJAD ambazo ni
Alif=1, Ba=2, Jim=3, Dal=4, He=5, Waw=6, Za=7, Haa=8, Twa=9, Ya=10, Kaf=11, Lam=12, Mim=13, Nun=14, Sin=15, Ain=16, Fa=17, Swad=18, Qaf=19, Ra=20, Shin=21, Ta=22, Tha=23, Kha=24, Dhal=25, Dwad=26, Dwa=27, Ghain=28.
Sasa tutafute Herufi za Neno ٱلضَّأۡنِ katika Herufi za ABJAD za kiarabu na Tuchukue Namba zake kisha tujumlishe.
Alif=1- Alif katika Neno ٱلضَّأۡنِ
Lam=12 Lam Ya neno ٱلضَّأۡنِ
Dwad=26 Dwad ya neno ٱلضَّأۡنِ
Alif=1- Alif katika Neno ٱلضَّأۡنِ
Nun=14 Nun ya neno ٱلضَّأۡنِ
Sasa tujumlishe Positions za Herufi hizi za neno ٱلضَّأۡنِ
1 + 12 + 26 + 1 + 14=54 Namba hii ni DIPLOID
Ambayo Mume ni 27 na Kike ni 27 na Jumla ni 54
Unaona Muujiza Mwingine Tunapata tena Chromosomes za Kike na Kiume za Kondoo.
Allahu Akbar. Je Unaona Muashirio wa Ajabu?
Hebu Tuendelee Mbele:
Neno ٱلضَّأۡنِ Limetumika katika Sura Ya Al-Anaam Ambayo ni ya 6 kuanzia Mwanzo wa Kuruani.
Ukihesabu Sura zote kuanzia Sura Hii namba 6 mpaka Sura Namba 108 utapata Jumla ya Sura ni 103 na Muujiza wa kushangaza sana ni kwamba Namba hii 103 ni Prime Number ya 27.
Angalia Muujiza usio na Mwisho. Allahu Akbar. Angalia Muujiza wa Kushangaza. Namba 27 ni Chromosome za Kondoo.
Kwa kweli Kuruani ni Muujiza Usio na Mwisho. Lazima turudi kwa Mwenyeezi Mungu na Tumuogope sana. Lazima Tumche sana. Huu sio Muujiza Mdogo.
3/MUUJIZA KATIKA ELIMU YA MATHEMATICS
سُوۡرَةُ الکَوثَر
بِسۡمِ ٱللَّهِ ٱلرَّحۡمَـٰنِ ٱلرَّحِيمِ
إِنَّآ أَعۡطَيۡنَـٰكَ ٱلۡكَوۡثَرَ (١) فَصَلِّ لِرَبِّكَ وَٱنۡحَرۡ (٢) إِنَّ شَانِئَكَ هُوَ ٱلۡأَبۡتَرُ (٣)
Orodha ya Maajabu Ya Kukariri Kwa namba 10 katika Sura Hii Ya Kawthar Na Ajabu ni Kwamba Namba 10 inaashiria Tarehe 10 Ya DhulHijja. Na ndiyo Siku ambayo Kunafanyika Machinjo. (Siku Ya Eid Al-Adhhaa) Aya Ya Pili Inahussu Kuchinja katika Siku Hiyo
1/Sura Hii Ina Jumla Ya Maneno 10
2/Aya Ya Kwanza Imetumia Herufi 10 kutoka katika herufi 28 za lugha ya kiarabu (Bila Ya Kusihesabu herufi zilizokariri)
3/Aya Ya Pili Imetumia Herufi 10 kutoka katika herufi 28 za lugha ya kiarabu ( Bila Ya Kusihesabuherufi zilizokariri)
4/Aya Ya Tatu Imetumia Herufi 10 kutoka katika herufi 28 za lugha ya kiarabu ( Bila Ya Kusihesabuherufi zilizokariri)
5/ Herufi Alif imetumika katika Sura Hii Mara 10.Hakuna Herufi Nyingine ambayo imetumika zaidi ya Mara 10.
6/ Herufi ambazo zimetumika mara moja tu (yaani zisizokariri ni 10 tu) na hizi ni (Hamzah, He, Ya, Fe, Ain, Twa, Swad, Shin Haa,Ta,Tha)
7/Katika Aya Hizi Tatu ukiondoa herufi zinazojulikana kama ḥurūf muqaṭṭaʿāt, “disjoined letters” or “disconnected letters حُرُوف مُقَطَّعَات ambazo jumla yake ni 14 na hizo ni (Alif, Haa, Raa, Sin, Swad, Twa, Ain, Qaf, Kaf, Lam, Mim, Nun, He, Ya) zitabakia nyinginezo ambazo ni 10 kwani Herufi za Lugha ya Kiarabu ni 28. Na Hizi zilizobaki ni Herufi 10, Nazo Ndiyo zimetumika zote katika Aya Hizi 3
8/Herufi ya Mwisho Katika Kila Aya ni Herufi RA na Ajabu ni kwamba Herufi RA katika mpangilio wa Herufi za Kiarabu ni ya 10
9/Idadi ya Sura Katika Kuruani Yote Ambazo zinaishia na Herufi RA ni 10
10/Neno SURAH limetajika Katika Kuruani mara 10 11/Kuanzia Mwanzo wa Sura Hii namba 108 mpaka Mwisho wa Kuruani Maneno ambayo yameishia na Herufi RA ni 10
12/Aya Ya Kwanza katika Sura Ya Al-Kawthar Imetumia ِNeno إِنَّآ Na neno hili mara ya kwanza kutumika katika Kuruani Tukufu ni Mwanzoni yaani katika Sura Ya Al-Bakarah Aya Namba 119, Na Ajabu Ni kwamba Aya Hii Namba 119 ina Maneno 10 Pia!!!
13/Ukijumlisha Namba za Aya Hizi 3 utapata 6 kama ifuatavvyo
( Aya Namba 1 + Aya Namba 2 + Aya Namba 3=6)
Na namba 6 Inashangaza sana kwani Tunakuta Katika Aya Hizi Tatu Kuna Herufi 6 Peke yake ambazo zimekariri zaidi ya mara moja. Nazo ni;
Alif, Ra,Kaf, Lam, Nun, Na Waw
Herufi Hizi katika Mpangilio wa Herufi 28 za Lugha Ya Kiarabu ni kama ifuatavyo:
Alif ni ya Kwanza, Ra ni ya 10, Kaf ni ya 22, Lam ni ya 23, Nun ni ya 25 na Waw ni ya 27
Ukijumlisha namba hizi utapata kama ifuatavyo:
1 + 10 + 22 + 23 + 25 + 27=108
Ajabu Ni kwamba tunapata Namba ya Sura Hii Hii ya Kawthar kwani ni ya 108
kwa kweli inashangaza sana. Allahu Akbar.
14/Sasa Tuchunguze Positions ya Herufi Ra katika Aya hizi 3
إِنَّآ أَعۡطَيۡنَـٰكَ ٱلۡكَوۡثَرَ (١) فَصَلِّ لِرَبِّكَ وَٱنۡحَرۡ (٢) إِنَّ شَانِئَكَ هُوَ ٱلۡأَبۡتَرُ (٣)
Kuna Herufi Ra 4 Ya kwanza ni ya 16
Ya Pili ni ya 21
Ya Tatu ni Ya 28
Ya Nne ni ya 43
Ukijumlisha Namba hizi utapata Namba ya Sura ambayo ni 108 (16 + 21 + 28 + 43=108)
Na namba 108 inaashiria Namba Ya Sura Ya Kawthar.Angalia Muujiza Usio Na Mfano. Allahu Akbar.
15/Kabla Ya Kumaliza Utafiti Huu ningependelea Kuwaletea Maajabu Makubwa Zaidi katika Sura Hii.
Ukihesabu matumizi ya Herufi Za Neno la kwanza, إِنَّآ katika Aya Ya Kwanza, Sura ya Kawthar utapata Jumla za Herufi ni 15
Ukihesabu matumizi ya Herufi Za Neno la pili أَعۡطَيۡنَـٰك, Katika Aya Ya Kwanza, Sura Ya Kawthar utapata Jumla za Herufi ni 22
Ukihesabu matumizi ya Herufi Za Neno la tatu, ٱلۡكَوۡثَرَ katika Aya Ya Kwanza, Sura Ya Kawthar utapata Jumla za Herufi ni 26
Ukijumlisha Herufi Hizi utapata kama ifuatavyo:
15 + 22 + 26=63
Angalia Muujiza. Namba 63 ni Umri wa Mtume Mohamad. (Sala na Amani Yake Mwenyeezi Mungu Zimfikie) Allahu Akbar.
16/Sasa tuhesabu Maneno Ya Aya Ya Pili na Tufanye kama Tulivyofanya Hapa Juu.
إِنَّآ أَعۡطَيۡنَـٰكَ ٱلۡكَوۡثَرَ (١) فَصَلِّ لِرَبِّكَ وَٱنۡحَرۡ (٢) إِنَّ شَانِئَكَ هُوَ ٱلۡأَبۡتَرُ (٣)
Ukihesabu matumizi ya Herufi Za Neno la kwanza فَصَلِّ katika Aya Namba 2, Sura ya Kawthar utapata Jumla za Herufi ni 6
Ukihesabu matumizi ya Herufi Za Neno la pili لِرَبِّكَ katika Aya Namba 2, Sura Ya Kawthar utapata Jumla za Herufi ni 14
Ukihesabu matumizi ya Herufi Za Neno la tatu وَٱنۡحَرۡ katika Aya Namba 2 , Sura Ya Kawthar utapata Jumla za Herufi ni 23
Ukijumlisha Herufi Hizi utapata kama ifuatavyo:
6 + 14 + 23=43
Namba hii 43 Inashangaza sana kwani inaashiria Jumla ya Herufi zote katika Sura Ya Kawthar!!!
17/Sasa tuhesabu Maneno Ya Aya Ya Tatu na Tufanye kama Tulivyofanya Hapa Juu.
Ukihesabu matumizi ya Herufi Za Neno la kwanza إِنَّ Katika Aya Namba 3, Sura za Kawthar utapata Jumla za Herufi ni 15
Ukihesabu matumizi ya Herufi Za Neno la pili شَانِئَكَ katika Aya Namba 3, Sura za Kawthar utapata Jumla za Herufi ni 21
Ukihesabu matumizi ya Herufi Za Neno la tatu هُوَ katika Aya Namba 3, Sura za Kawthar utapata Jumla za Herufi ni 4
Ukihesabu matumizi ya Herufi Za Neno la nne ٱلۡأَبۡتَرُ katika Aya Namba 3, Sura za Kawthar utapata Jumla za Herufi ni 21
Ukijumlisha Herufi Hizi utapata kama ifuatavyo:
15 + 21 + 4 + 21=61
Namba hii Ni Prime Number ambayo haigawanyiki na namba yeyote isipokuwa na Namba 1 au namba yenyewe yaani 61.
Na Hapa Tunafahamu zaidi Muujiza Wa Neno ٱلۡأَبۡتَرُ
Ni Tuhuma za makafiri Walipomwambia Mtume (Sala na Amani Yake Mwenyeezi Mungu Zimfikie) kwamba Ukoo wake umeisha koma yaani hautaendea kwa kufiwa na wanawe wa kiume na Kwa hivyo Dini ya Kiislamu pia haitaendelea.
Usisahau kwamba Hesabu zinazungumza. Namba ni Lugha. Namba 61 inawahusu Makafiri na siyo Mtume kwani Imani zao Hazizai Kheri Yeyote na ni sawa na namba 61 ambayo haigawanyiki na chochote.
Hizo ndoto na matamanio waliyokuwa nayo Makafiri. Namba hii ni Prime Number haigawanyiki na Namba Yeyote isipokuwa na 1 au Yenyewe yaani namba 61 . (Namba Inayogawanyika ni Even Number ambayo inagawanyika zaidi ya mara moja. Kwa mfano namba 20 inaweza kugawanyika kwa 2 au 5 au 10. Ukiigawa kwa 2 utapata jawabu 10 na unaweza kuigawa tena kwa 2 au 5)
Sasa Mtume alisomea wapi Elimu kubwa kama hizi za Genetics na Mathematics za hali ya Juu kama tulivyoona. Haiwezekani Hata kidogo Mtu yeyote katika Karne ya 7 kutoa Milango ya Elimu kama hii ambayo imegunduliwa hivi Karibuni.
Habari za Chromosomes ziligunduliwa Mwaka 1888 (Angalia Picha Hapa Chini za Habari Hizi) Yaani baada ya Miaka karibu 1100.
Huu ni uthibitisho kwamba Kuruani Ni Kitabu Cha Ukweli.
Ni Maneno yake Mwenyeezi Mungu Mtukufu aliyetukuka Sana juu ya Kila Kiumbe.
Aya ya Kursiy inasema Hivyo.
Sura Ya Al-Bakarah Namba 2 Aya Namba 255
ٱللَّهُ لَآ إِلَـٰهَ إِلَّا هُوَ ٱلۡحَىُّ ٱلۡقَيُّومُۚ لَا تَأۡخُذُهُ ۥ سِنَةٌ۬ وَلَا نَوۡمٌ۬ۚ لَّهُ ۥ مَا فِى ٱلسَّمَـٰوَٲتِ وَمَا فِى ٱلۡأَرۡضِۗ مَن ذَا ٱلَّذِى يَشۡفَعُ عِندَهُ ۥۤ إِلَّا بِإِذۡنِهِۦۚ يَعۡلَمُ مَا بَيۡنَ أَيۡدِيهِمۡ وَمَا خَلۡفَهُمۡۖ وَلَا يُحِيطُونَ بِشَىۡءٍ۬ مِّنۡ عِلۡمِهِۦۤ إِلَّا بِمَا شَآءَۚ وَسِعَ كُرۡسِيُّهُ ٱلسَّمَـٰوَٲتِ وَٱلۡأَرۡضَۖ وَلَا يَـُٔودُهُ ۥ حِفۡظُهُمَاۚ وَهُوَ ٱلۡعَلِىُّ ٱلۡعَظِيمُ (٢٥٥)
TAFSIRI
Mwenyezi Mungu hakuna mola ila Yeye, (na) ndiye Mwenye uhai wa maisha, Msimamia kila jambo. Kusinzia hakumshiki wala kulala. Ni Vyake (peke yake vyote) vilivyomo mbinguni na vilivyomo katika ardhi. Na nani huyo awezaye kuombea mbele Yake (Mungu) hila ya idhini yake? Anayajua yaliyo mbele yao (viumbe) na (yaliyo) nyuma yao; wala (hao viumbe) hawalijui lo lote katika (yaliyo katika) ilimu Yake (Mwenyezi Mungu) ila kwa alipendalo (Mwenyewe). Enzi yake imeenea mbingu; na ardhi; wala kuvilinda hivyo hakumshindi; na Yeye (peke yake) ndiye aliye juu na ndiye aliye Mkuu
Naomba Mwenyeezi Mungu atakabali utafiti huu. Kama kuna makosa basi anisamehe.
Hii ni Tonye katika Bahari kwani Sura Hii ina Mengi mengineyo ambayo hatuyajui.
Leo tumesoma haya na kesho kutakuwa na mengine na huenda tukajisahihisha tunapojua makosa yetu.
Na kila siku mapya yanagunduliwa. Allahu Akbar.
Kuruani ni maneno yake Mwenyeezi Mungu.
Ni Hotuba Yake kwetu sisi Viumbe. Ulimwengu ni wake ambao ameuumba kwa ufundi wa hali ya juu sana Na Ikiwa hivyo je Hotuba Yake? Je Lugha Yake? itakuwa vipi? Kwa kifupi Hotuba na Lugha Yake itakuwa Ya hali ya Juu sana tena sana kama tunavyoona hapa.
Allahu Akbar.
Picha Mbali Mbali Nimeambatanisha Hapa Chini ambazo zinafafanua zaidi Habari Zinazohusu Elimu za Genetics.

Chromosome Iligunduliwa na Walther Flemming Katika nusu ya pili ya Karne ya 19 Karibu karne 13 baada Ya Uislamu. Unaona Muujiza Wa Kuruani? Mtume alisoma Wapi Elimu Hizi? Tumche Mungu.

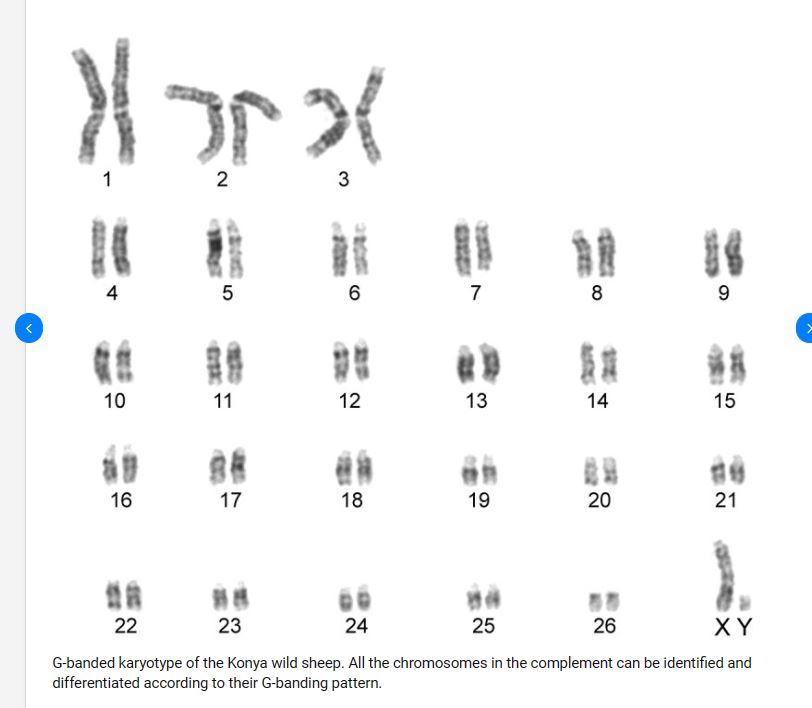
Picha Hii Inatupa Chromosome za Kondoo (Sheep) Ni 27 Haploid. (Kwa hiyo Kike ana 27 na Kiume ana 27 Jumla ni 54) Allahu Akbar

Google inathibitisha kwamba Chromosome za Kondoo ni 54.
Picha Nyingine Inathibitisha Chromosome za Kondoo (Sheep) Ni 54 (Yaani 27 x2=54)
